연산동치과 전체적인 치아상실에는
.
치아는 신체 건강을 유지하는 데
없어서는 안 될 신체 기관인데요.
.
음식물을 섭취할 때 잘게 부수어
소화하는 데에 큰 역할을 하고,
발음을 하거나 심미적인 측면에서도
중요한 역할을 해요.
.
만약 다수의 치아를 상실한 경우
신체적인 문제로도 이어질 수 있으므로
치아를 올바르게 관리해주는
습관을 지니는 것이 중요해요.
.
특히 노년이 되면서 잇몸이 약해져
치아가 탈락하거나 남지 않는 경우가 많은데
노년의 경우 약을 복용 중 이거나
체력이 약해 임플란트 식립을 진행하는 것이
망설여질 수 있어요.
.
하지만 치아가 없이 지내다 보면
음식을 저작하는데 문제가 생겨
소화불량이 생기거나 위장에 무리가 갈 수 있으며
심미적으로 위축되어 자신감이
떨어질 수 있기 때문에
치아의 기능을 회복해 주어야 해요.
.
.

.
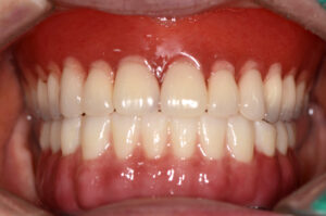
위 환자분은 하악에 전체 틀니를
사용하셨는데 틀니의 유지력이 부족하여
대부분 사용을 하지 않으신다고 하셨는데,
육안으로 보기에도 오랜 시간 틀니의 사용으로
잇몸뼈가 많이 소실 되어 있는 상태였어요.
.
픽스쳐를 식립하기 전 디지털 장비를 이용하여
정밀하게 진단한 후 풀아치임플란트를
진행하기로 하였는데요.
.
여기서
.
전체적으로 식립하는 것에 비해
비용적인 부담이 덜하다는 장점이 있고,
전체 임플란트와 비슷한 효 과를 내면서
개인의 잇몸뼈에 맞는 식립이 이루어져
보철물을 고정하므로 틀니처럼
흔들림이 없어 많은 분들께서
찾아주시고 계세요.
.
또한 완성된 보철물에서 치아와 잇몸을
동시에 제작하므로 퇴축된 잇몸의 보.상이 가능하여
입술 부분이 안으로 말려들어 가 있거나
길어 보이는 등의 부수적인 문제를
해결하는 부분에 도움을 주어
자연스러운 완성이 가능해요.
.

.
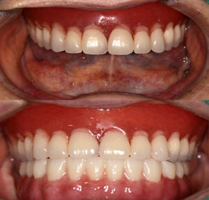
완료 후의 모습을 보시면 구강에 맞는 형태와
모양으로 임플란트가 완성된 모습을 볼 수 있는데요.
.
풀아치임플란트의 경우 보철물의
각도나 위치, 상하 교합 관계 등을
정확하게 맞추는 것이 중요해요.
.
특히
해야 해요.
.
만일 제대로 맞지 않게 제작되어 들어간다면
음식물을 저작할 때마다 불편감이 생길 수 있고
턱관절과 잇몸에도 좋지 않은
영향을 끼칠 수 있으며,
작은 변화로도 첫인상이 달라질 수 있었어요.
.

.
연산동치과 미시간에서는 디지털화된 장비들을
사용하여 정밀하게 체크하여 입안의
여러 구조물을 파악한 후
임플란트를 식립하고 있어요.
.
또한 치아와 잇몸뼈의 상태, 식립 위치 등을
정밀하게 파악한 후 모의 시뮬레이션을 거쳐
낮은 오차 확률로 안정적인 식립이 가능해요.
.
보철물을 제작할 때는 과거 힘들게
인상을 채득했던 것과 달리
3차원 영상 스캔 장비를 통해
빠르고 정밀한 제작이 가능하여
편안하게 진료를 받아보실 수 있어요.
.

.
보철물까지 완료된 후의 사진이에요.
.
위에 사용하시던 틀니와 교합이 알맞게
맞물리는 것을 볼 수 있는데요.
심미적으로도 만.족하시고 틀니처럼
탈락하지 않아 좋아하셨어요.
.
.
미시간치.과에서는 수많은 풀아치임플란트 사례로
임상경험이 풍부하며, 한국 임상 보철 연구회
전문과정 수료와 미국 오하이오 주립대,
미시간 대학교 치과대학 임플란트 및
보철 과정을 연수하신
이향련 대표원장님께서
진단부터 식립, 사후관리까지 모두
책임지고 진료하기 때문에
걱정 없이 내원하실 수 있어요.
.

높은 지식들로 꾸준히 강연을 하고 계신데요.
.
이를 참관하러 오시는 분들도
많기 때문에 믿고 내원 하실 수 있어요.
.
임플란트는 식립도 중요하지만
관리 방법에 따라 수명이 달라지기
때문에 올바르게 관리하는 것이 중요해요.
.
특히 임플란트는 자연치아와 달리
치주인대가 존재하지 않기 때문에
염증에 취약해요.
.
픽스쳐 주변으로 치태나 치석이
쌓인 채 오랜 시간이 지나게 되면
잇몸뼈가 소실될 수 있고 그럴 경우
픽스쳐가 탈락할 가능성도 있어요.
.
해요.
.

.
만약 임플란트가 탈락하였다고 해서
‘재 식립을 하면 되지’ 라는 안일한 생각을
하시는 분들이 종종 계시는데요.
.
잇몸뼈의 상태가 괜찮다면 진행이
가능할 수 있겠지만 추가적인 뼈이식 후
안정 기간을 거쳐 재식립을
해야 할 가능성이 높아요.
.
또한 이런 경우 염증이 발생하였을
확률이 높고 이로 인해 잇몸뼈를 상실하여
식립이 불가능한 경우가 대부분이므로
비용을 들여 힘들게 진행한 임플란트를
오랜 기간 쓸 수 있도록 관리하는
습관이 필요해요.
.
다수의 치아가 상실하였거나 틀니로 인해
불편감을 느끼고 있는 경우
연산동치과 풀아치임플란트를 고려해보시길
바라며 궁금한 사항이 있으시거나
내원을 원하시면 본원으로
문의해주시길 바라요.
.
