연산동전체임플란트 본래 치아와 같은 편안함으로
.
.
많은 직장인 분들이 바쁜 일과 후
취미 생활을 병행하고 있는데요.
그중 하나로 건강 관리를 위한
운동도 빠지지 않고 있을 거라 생각이 듭니다.
하지만 평생 사용해야 하는 치아,
구강 관리에 대해서는 생각해 보셨나요?
.
치아를 평생 사용하기 위해서는
꼼꼼한 관리가 필수인데요.
.
이 과정은 생각보다 귀찮기도 하고,
치석의 경우 가정에서 제거할 수
없기 때문에 까다롭기까지 합니다.
.
그러다 보니, 간단한 치료로 끝날 수 있는
문제였음에도 불구하고 시간과 비용 문제로
인해 시기를 놓쳐 발치를 하는 분들이 생각보다 많습니다.
.
만약 다수의 치아를 상실하셨다면,
디지털 풀아치 임플란트(Implant) 식립을
한 번쯤은 고민하셨을 텐데
필요한 개수를 식립하는 것만으로도
저작력과 심미성을 충분히 회복할 수 있습니다.
.
오늘은 미시간에서 상, 하악 전체
풀아치임플란트를 진행하신 분을
소개해 드리려고 하는데요.:)
.

.
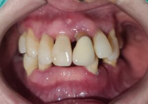
위 환자분은 상, 하악 다수의 치아가
상실된 상태로 내원해 주셨습니다.
.
잇몸이 좋지 않아 하나씩 발치를 하다 보니
남은 치아가 몇 개 없어 식사하시는데
큰 불편함을 호소하셨는데요.
.
전체적으로 어금니 부위 예후가 좋지 않았고
남아 있는 치아들도 오래 사용하기엔
무리가 있을 것이라고 판단하여
.
발치가 필요한 치아는 발치 후 임플란트를
진행하였고, 보철치료가 필요한 부분도
동시에 진행하였습니다.
.
.
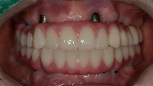
상, 하악 모두 디지털 풀아치 임플란트로
진행을 하였는데요.
.
디지털 풀아치 임플란트는 평균 4~6개의
임플란트를 식립하여 하나의 보철물로 연결해
치아의 기능과 심미성을 회복시켜주는 시.술을 말합니다.
.
물론 ‘식립 개수가 작은데, 일반 임플란트랑 다른 거 아냐?’
생각하실 수 있는데요.
.
디지털 풀아치는 자연치의 기능을 80~90%까지
회복시켜주는 장점이 있습니다.
.
게다가 시술 당일에 임시 보철물 체결이
가능하기 때문에 기존 임플란트 보다
일상으로 복귀가 더욱 빨라집니다.
.
하지만 모든 분들이 진행이 가능한 것은 아닙니다.
.
임플란트는 인공치근을 잇몸뼈에
심는 과정을 거쳐야 하는데요.
.
이때 환자분의 잇몸뼈가 많이 녹아내린 경우에는
식립이 불가능할 수 있기 때문에 잇몸뼈 이식술과
같은 적절한 치료를 먼저 받아주셔야 합니다.
.

.
.
연산동전체임플란트 미시간에서는
3D CT 및 Trios 디지털 스캔을 통해 육안으로는 보이지 않는
해부학적 구조물 위치까지 파악이 가능합니다.
.
이후 컴퓨터 영상을 통해 환.자의 골조직, 신경 위치 등을
분석한 뒤 식립 위치, 방향, 깊이 등을 결정하고
진.단 데이터를 토대로 컴퓨터 모의수술을 거치게 됩니다.
.
이후 3D 프린터와 CAD/CAM 장비로 수술 가이드와
수술 당일 사용할 보철물을 정밀 제작합니다.
.
디지털 장비를 이용하면 잇몸 절개가 아닌 작은 구멍을 내어
시술이 진행되기 때문에 출혈 및 부기가 적으며
회복 시간도 줄어든다는 장점이 있습니다.
.
따라서 치과 공포증이 있어 치료를 미루셨던 분,
기존 식립 과정이 부담스러운 전신질환자,
빠른 시술을 원하는 직장인에게도 적용이 가능합니다.
.

.
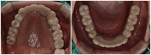
최종적으로 환자분의 풀아치임플란트가
마무리되고 난 후 사진입니다.
.
다수의 치아가 하나의 보철물로 제작되었지만
오차 없이 제작되어 교합이 잘 맞았어요.
.
.
환자분께서는 치료 전 상태보다 훨씬 심미적이며,
식사할 때도 불편함이 없다고 좋아하셨어요.

.
디지털 장비와 함께 치과 선택 시
염두에 두어야 하는 것은 무엇일까요?
바로 의료진입니다.
.
어떤 의료진이 식립하느냐에 따라 시술 결과가
달라질 수 있으니 풍부한 임상경험 및
노하우가 있는 분을 선택해야 하는데요.
.
연산동전체임플란트 치과에서는
한국 임상 보철 연구회 전문과정 수료,
미국 미시간 대학교 치과대학 임플란트 및 보철 과정 연수,
DIO 임플란트 임상자문의 등 다양한 학술 활동을 통해
.
임상경험 및 지식을 갖춘 이향련 대표원장님과
보건복지부 인증 통합치의학과 전문의이신
양희경 원장님께서 치료 전 과정에 참여하시기
때문에 걱정하지 않으셔도 됩니다.
.
*모든 증례 사진은 의료법
제23조, 제 56조에 의거하여,
당사자의 동의하에 게시하였습니다.
*치료 사진은 모두 본원에서 치료한
환자분 사진입니다.
*치료 사진은 모두 동일인 사진이며,
동일조건에서 촬영하였습니다.
*개인의 차이에 따라
시술 및 수술 후 부작용이 발생할 수 있으며,
의료진과 충분한 상담을 받으시기 바랍니다.
