문의 전화

051-851-7528

카카오 채널

카카오 채널

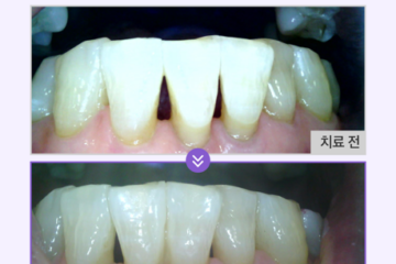
연산동치과 앞니의 틈을 레진으로 수복하는!

연산동치과 앞니의 틈을 레진으로 수복하는! 치료기간 : 2024.07 . 치아 건강과 심미적인 아름다움은 서로 밀접하게 연관되어 있으며 이를 조화롭게 유지하는 것이 치과 치료의 핵심이라고 할 수 있습니다. . 많은 분이 거울을 보다가 앞니 사이에 생긴 작은 검은 틈을 발견하고 당혹감을 느끼시곤 하는데 이를 블랙트라이앵글이라고 부릅니다. . 이 현상은 치아와 치아 더보기…

연산동치과

연산동치과 세심한 진료로 성공적인 임플란트를!

연산동치과 세심한 진료로 성공적인 임플란트를! . 100세 시대에 접어들며 사람들의 평균 수명이 점점 늘어나고 있습니다. . 그에 따라 신체 전반의 건강을 유지하는 것은 더 이상 선택이 아닌 필수가 되었는데요. . 특히 한 번 자라면 평생 사용해야 하는 영구치의 건강 관리 역시 매우 중요합니다. . 나이가 들면서 자연스러운 노화와 함께 치아가 더보기…

연산동치과 치아공간이 부족해 앞니가 삐뚤빼뚤하다면?

연산동치과 치아공간이 부족해 앞니가 삐뚤빼뚤하다면? . 안녕하세요 연산동치과 미시간치과입니다. . 치아 교정은 전체 치열을 모두 고르게 배열하는 전통적인 교정방식이 떠오르지만 다양한 교정방식이 있는데 그중 하나가 바로 ‘부분교정’입니다. . 윗니 앞니 부위에 국한된 부분교정은 심미적인 불만이 있는 환자분들에게 고려할 수 있는 교정방법입니다. . . 상악 전치부는 웃거나 말할 때 잘 드러나는 더보기…

연산동치과

연산동치과 틀니를 대체하여 풀아치임플란트로!

연산동치과 틀니를 대체하여 풀아치임플란트로! . 나이가 들면서 치아를 상실하는 것은 흔한 일입니다. . 하지만 치아를 모두 잃게 되면 불편함을 넘어 삶의 질 자체가 큰 영향을 받게 됩니다. . 잇몸 위에 얹는 틀니는 고정력이 약하고 음식 섭취나 발음에도 불편을 초래할 수 있으며 장기적으로는 잇몸뼈가 점점 흡수되면서 얼굴 윤곽 변화까지 생길 수 더보기…

연산동치과

연산동치과 면밀히 확인하여 진행하는

연산동치과 면밀히 확인하여 진행하는 . 환한 미소는 첫인상과 자신감을 크게 향상시킵니다. . 그러나 치아 손상으로 웃을 때 불편함을 느낀다면, 이를 해결할 방법을 찾는 것이 중요합니다. . 임플란트는 상실된 치아를 대체하여 자연스러운 미소와 기능을 회복시키는 치료 방법입니다. . 임플란트를 고려 중이라면, 치과를 방문하여 임플란트 치료를 통해 건강한 치아를 되찾고, 더 나은 더보기…

미시간치과 개인마다 다른 상황을 고려하여

미시간치과 개인마다 다른 상황을 고려하여 . 물건도 오래 사용하게 되면 닳고 망가지듯이 사람의 신체도 마찬가지로 노화가 진행되면서 신체 기능이 저하되어요. . 신체 부위 중 치아도 마찬가지로 닳고 잇몸도 약해져 치아를 상실하게 되는 경우가 빈번합니다. .. 하지만 보통의 경우 구강 내에 문제가 생기거나 통증이 심해지는 경우 치과에 내원해 주시는 경우가 많아 더보기…

연산동치과 밝은 미소와 구강 건강을 위하여

연산동치과 밝은 미소와 구강 건강을 위하여 (치료기간 : 2023.10~2024.03) . 밝은 미소를 유지하고 편안한 식사를 할 수 있는 것은 우리 삶의 중요한 부분입니다. . 하지만 전체 치아의 상실은 이를 어렵게 만들 수 있는데요. . 치아가 손상되거나 상실되었을 땐 자연적인 회복이 불가능하기 때문에 평소 예방관리가 매우 중요합니다. . 하지만 다양한 원인으로 더보기…

부산치과 불규칙한 덧니를 가지런하게

부산치과 불규칙한 덧니를 가지런하게 . 물건을 정리할 때 공간이 부족하게 되면 앞뒤 좌우로 물건이 튀어나오게 되죠? . 치아도 공간이 부족할 시에 가지런하게 자라지 않고 불규칙한 배열로 자랄 수 있습니다. . 치아 배열은 외모와 더불어 구강 건강을 포함해 여러 부분에 중요한 영향을 줍니다. . 치아는 눈에 잘 띄는 곳 중 한 더보기…

연산동치과, 앞니를 부분적으로 교정해요!

연산동치과, 앞니를 부분적으로 교정해요! . . 안녕하세요 미시간치과입니다.😁 . 앞니가 삐뚤빼뚤하거나 벌어져 있는 경우나 치아의 크기가 유난히 작거나 모양이 이상한 경우 어떤 방식으로 해결을 해야하는지 어려워하십니다. . 모양이 이상한 부분이 있으니 “보철로 다 씌워야 하나?” 벌어져있거나 고르지 못하니 ” 전체 교정을 해야 하나?” 이렇게 고민을 하게 되는데요. . 특히 웃을 더보기…

연제구임플란트 안정적으로 편안하게 진행하는

연제구임플란트 안정적으로 편안하게 진행하는 치아를 모두 잃은 상황을 “무치악”이라고 합니다. . 이런 경우 일반적으로 고려되는 대안은 틀니로 예전부터 치아 상실에 대한 대책으로 사용되어 왔기 때문에 많은 사람들이 익숙해하시지만 그러나 틀니는 비교적 저렴하지만 튼튼하지 않으며, 사용할 때마다 번거로움이 따릅니다. . 따라서 틀니의 불편함을 줄이고 효율적으로 저작기능을 유지하기 위해 임플란트를 선택하시는 분들이 더보기…