연산동치과 V자 악궁을 고르게 교정하는

.
상악과 하악의 치열 불균형은
겉으로 보기에는 단순히 치아가
겹쳐 보이는 문제처럼 느껴지지만
실제로는 악궁 형태와 치아 간 비율,
상하악의 교합관계가 복합적으로
작용해 나타나는 결과입니다.
.
특히 상악이 지나치게 좁아지면서
악궁이 V자 형태로 형성된 경우에는
치아가 제자리를 잡지 못하고 회전하거나
송곳니가 기존보다 높은 위치로
맹출하는 상황이 발생하며
이는 정상적인 교합을 방해하고
심미적인 부분에서도
큰 부담을 주게 됩니다.
.
반면 하악은 공간 부족으로
앞니가 서로 겹쳐 보이는
총생이 나타나기 쉬운데요.
.
이러한 양악의 불균형은 위 아래 중
한쪽만 정리해서
해결될 문제가 아니므로
구조적인 분석이 반드시 필요합니다.
.
.jpg?type=w1)
.
위 아래의 부정교합이 발생하여
교정을 통해 치료하고자 할 때
발치 여부를 결정하는 것은
무조건 치아 개수를 줄이거나
위아래 모두 발치하는 방식이 아니라
각 치아가 갖는 폭경 비율과 상하악의 관계,
그리고 얼굴의 균형을 종합적으로 평가해
필요한 치아만 선택적으로 발치하게 됩니다.
.
발치를 통한 치열 공간을
확보해야 하는 이유가
단순히 가지런하게
배열하기 위해서만이 아니라
상하악 치아가 서로 맞물리는 방식이
정상적이어야 장기적인 안정성을
확보할 수 있기 때문입니다.
.
따라서 발치 교정은 언제나 정확한 분석과
정밀한 계획을 전제로
이루어지는 치료입니다.

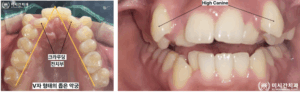
연산동치과 미시간치과에서
교정을 진행하신 환자분의 케이스는
상악은 매우 좁고 V자형으로
수축된 악궁 형태를 보였으며
High Canine이 두드러져
치아 배열의 불안정성이 뚜렷했습니다.
.

.
반면 하악은 전치부 총생이 있었으나
치열 폭과 악궁 형태가
비교적 유지되어 있어
비발치로도 교정이 가능하다고
판단하였습니다.
.
이러한 분석을 통해 상악에서는
소구치 발치를 통해 공간을 확보하고
하악은 비발치 교정을 진행하는
계획을 세웠으며
상하악 전체의 균형을 맞추는 방향으로
치료를 진행했습니다.
.
치료 과정에서는 상악은 공간부족으로 인해
위쪽으로 맹출된 송곳니를
자연스러운 위치로 유도하고
V자형으로 좁아진 악궁을 U자 형태로
치열을 조화롭게 배열해 나갔습니다.
.
하악은 불필요한 발치를 피하면서도
총생을 효과적으로 해소해
상악과 조화되는 교합을 완성할 수 있었습니다.
.

.연산동치과
발치와 비발치를 정확히 나누어 적용한 덕분에
치열 안정성은 물론 심미적인 만족도까지
높은 결과를 얻을 수 있었습니다.
.

.
저희 연산동치과 미시간에서는
악궁 형태, 치아 비율, 교합관계 등
다양한 요소를 면밀히 진단하여
환자분에게 가장 적합한 발치 여부와
교정 방식을 결정하고 있습니다.
.

치료기간 : 24.01 ~ 24.11
.
앞으로도 정확한 분석과
체계적인 진료로 최선의 결과를
만들어내기 위해 늘 노력하겠습니다.
.연산동치과
감사합니다.
.
*모든 증례 사진은 의료법
제23조, 제 56조에 의거하여,
당사자의 동의하에 게시하였습니다.
*치료 사진은 모두 본원에서 치료한
환자분 사진입니다.
*치료 사진은 모두 동일인 사진이며,
동일조건에서 촬영하였습니다.
*개인의 차이에 따라
시술 및 수술 후 부작용이 발생할 수 있으며,
의료진과 충분한 상담을 받으시기 바랍니다.
.