연산동미시간치과 전체임플란트를 안정적으로
삶을 건강하고 행복하게 살기 위해서는 건강관리가 필수인데요.
근래는 치아 관리에 대한 중요성이 강조되고
먹는 행복과 고른 영양소의 섭취로 건강을 유지할 수 있도록 구강 관리에 관심을 가지게 되었어요.
하지만 노화나 예기치 못한 사고로 인해 치아를 상실하였을 경우 틀니나 임플란트 등의 방법을 통해 치아의 기능을 회복해 주어야 해요.
위 사진 속 환자분은 기존에 임플란트를 식립하여
그 위에 틀니를 고정시키는 방법인 오버 덴쳐를 사용하셨는데
임플란트가 편측으로만 식립 되어 있어 사용할 때마다 불편하다고 하셨어요.
원래는 양쪽으로 4개의 임플란트가 식립 되어 있었는데 임플란트 주변으로 염증이 발생하여 임플란트를 제거한 후 오른쪽 임플란트에만 고정시켜 사용하고 계셨다고 해요.
이번에는 틀니 대신 전체임플란트를 원하셔서 수술 전 정밀한 진단을 한 후 수술을 계획을 세워드리기로 했어요.

진단 결과 현재 식립 되어 있는 임플란트는 상태가 양호하고 본원의 임플란트와 호환이 가능하여 지대주만 재제작 하여 사용하기로 하였고, 4개의 임플란트를 추가로 식립하여 풀아치임플란트를 진행하기로 했어요.
또한 상악에는 사용하시는 틀니에 불편함을 느끼지 못하고 유지력이 좋아 그대로 사용하시기로 하였어요.

풀아치임플란트란 틀니와 임플란트의 장점을 더한 임플란트 방식으로 전체적으로 하나씩 식립하는 임플란트가 아니라 소수의 임플란트 식립으로 전체적인 저작 기능을 회복할 수 있는 시술 방법이에요.
먼저 사용하시던 해드릴 수 있어요.
위 하악 사진을 보시면 오랜 시간 틀니를 사용하여 잇몸뼈가 상당히 소실된 것을 볼 수 있는데요. 오랜 세월 사용하게 되면 잇몸이 틀니에 눌려 수축할 수 있어요.
이럴 경우 임플란트 식립 시 문제가 될 수 있는데 환자분의 경우에도 잇몸뼈가 부족하여 치조골 이식을 진행한 후 임플란트를 식립하였습니다.
위에 완성된 사진을 보시면 전체 임플란트가 완성이 된 모습을 볼 수 있는데 환자분은 악궁이 작아 14개의 치아가 아닌 12개의 치아 기능을 회복하였어요.
환자 개인마다 구강의 크기, 잇몸뼈의 상태 모두 다르기 때문에 보철물을 제작할 때 여러 사항을 고려하여 제작이 이루어져야 해요.
전체임플란트 미시간치과에서는 아날로그 방식 대신 모든 과정을 디지털화하여 보철물을 제작하고 있는데요.
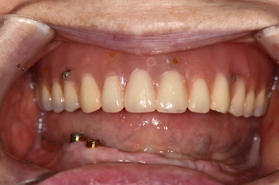
풀아치임플란트가 완료된 후의 사진을 보시게 되면 상악 치아들과도 올바른 교합이 이루어지고 있는 것을 볼 수 있으며 고정된 치아들에 대해 큰 만족감을 느끼셨어요. 심미적으로도 만족해하셨으며 추후 상악에도 풀아치임플란트를 고려해 보시겠다고 하셨어요.

연산동미시간치과에서는 한국 임상 보철 연구회 전문과정을 수료하고 미국 오하이오 주립대학교, 미시간대학교 치과대학 임플란트 및 보철 과정을 연수하신 이향련 대표원장님께서 정밀한 진단부터 섬세한 치료, 사후 관리까지 책임지고 진료하고 있어요. 또한 수많은 풀아치임플란트 수술 사례와 풍부한 임상경험을 겸비하고 있기 때문에 걱정 없이 내원하실 수 있어요.
치과에 대한 공포심이나 비용적인 문제로 인해 임플란트를 고민 중이시라면 미시간치과의 풀아치임플란트에 대해 상담받아보시길 바라며, 궁금한 사항이 있으시면 아래 매체들을 통해 편하게 문의해주시길 바라요:)

