연산동치과 전체임플란트 고민 중이시라면
.
본격적인 고령화 사회에 진입하면서 치아가 상실되어 임플란트나 틀니를 통해 치아의 기능 회복을 위해 방문해주시는 분들이 늘고 있어요. 이들은 여러 이유들로 인해 치아를 상실한 경우 치아 기능의 회복을 위해 사용하는 방법이며 두 가지 방법은 각자의 특징을 가지고 있는데요.
.
전체 임플란트는 최소한의 식립만으로 전체 치아가 있는 것 같은 심미성과 기능을 회복할 수 있는데요, 일반 전체 임플란트에 비해 낮은 비용 부담과 당일 즉시 임시 치아의 장착이 가능한 장점이 있어요.
.

.
장점이 많은 만큼 난이도가 높은 전체 임플란트는 디지털 장비를 활용한 정밀 검진을 토대로 체계적인 식립 계획을 세워야 하는데요. 혈관과 신경의 위치, 잇몸뼈의 상태처럼 육안으로 확인이 어려운 해부학적인 구조물까지 면밀히 파악하여 식립이 이루어져야 해요.
또한 해요.
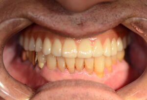
환자 분께서는 직장생활을 하고 계셔서 식립 후 심미적인 부분에 대해 고민이 많으셨는데요, 아프지도 않고 임시 치아 부착이 가능하여 다음날 바로 일상생활로 복귀하셨어요.
.

.
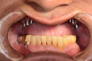
틀니를 오랜 기간 사용하시는 분들은 잇몸이 틀니에 눌려져 수축이 되기 때문에 임플란트의 식립이 어려운 경우가 있는데요, 식립 전 잇몸뼈의 상태를 확인하여 필요한 경우 잇몸뼈 이식이 진행될 수 있으므로 식립 전 충분한 상 담이 필요해요.
틀니를 사용한 기간이 길었다 보니 잇몸뼈가 전체적으로 수축되어 있는 상태였지만 잇몸뼈의 상태는 좋았기 때문에 뼈이식 없이 식립이 가능했어요.
.

.
치아가 없어 전체적으로 볼륨감이 없어 보이던 입술이 임플란트가 들어가면서 도톰해져 미적으로 흡족감을 얻게 되셨는데요. 연산역치과추천 미시간치과에는 원내에 3D 디지털 플래닝 센터가 있기 때문에 즉시 보철 제작이 가능하여 요청사항이나 수정 사항에 대해 빠른 피드백이 가능해요.
.
연산동치과 미시간치 과는 한국 임상 보철 연구회 전문과정 수료와 미국 오하이오 주립대, 미시간 대학교 치과대학 임플란트 및 보철 과정을 연수하신 이향련 대표원장님께서 진단부터 식립까지 책임지고 진료하고 있기 때문에 안심하고 받아보실 수 있어요.
.

수많은 풀아치 임플란트 수술 사례가 있으며, 재수 술도 가능한 본원에서는 다년간의 노하우와 섬세한 기술을 통해 정교하게 시술을 진행하고 있으니
제23조, 제 56조에 의거하여,
당사자의 동의하에 게시하였습니다.
*치료 사진은 모두 본원에서 치료한
환자분 사진입니다.
*치료 사진은 모두 동일인 사진이며,
동일조건에서 촬영하였습니다.
*개인의 차이에 따라
시술 및 수술 후 부작용이 발생할 수 있으며,
의료진과 충분한 상담을 받으시기 바랍니다.
.
