부산치과 전체적인 치아상실에는

치료기간 : 2022.10 ~ 2023.07
.
구강 건강은 한 번 나빠지면
되돌아올 수 없기 때문에
예방적인 관리가 필수인데요.
.
피부처럼 손상되더라도
재생이 가능하다면 좋겠지만
치아는 재생이 불가한 회귀성을
띠고 있기 때문에 올바른 관리만이
최선의 관리법이에요.
.
관리를 열심히 해도 노화나
예기치 못한 사고로 인한 치아 상실은
막을 수 없는데 이럴 경우 기능을 보완하고
심미성을 회복하도록
임플란트를 수복하곤 해요.
.
치아가 상실된 경우 빈자리를 채워줄 수 있는
임플란트를 식립하여 건강한 구강 건강을
유지할 수 있도록 하는 것이 중요하며,
정기적인 검진과 올바른 관리 방법으로
구강 건강에 많은 관심을 가져야 해요.
.
.

하악에는 부분 틀니를 사용하고 계셨는데
틀니가 오래되어 유지력이 좋지 않아
새로 틀니를 만들러 오셨어요.
.
구강 내의 상태를 보았더니
하악 잔존 치아들의 상태가
좋지 않아 발치가 필요했고,
틀니를 제작하기 힘든 상태였어요.
.
환자분과 상의 후 틀니 대신
풀아치임플란트를 진행하기로 하였으며,
수 술 전 정밀한 진 단을 위해
디지털 장비를 이용하여
개인의 상태를 파악한 후
식립을 진행하였어요.
.

.
.
부산치과 풀아치임플란트란
이 있어요.
.
또한 전체적으로 식립하는 방식에 비해
비용적인 부담이 덜하지만
비슷한 효 과를 볼 수 있다는 장점이 있고,
.
개인의 치조골 상태에 맞추어
임플란트 식립이 이루어져
고정되어 있기 때문에
유지력이 좋아 틀니처럼
자주 탈락하는 일이 없어요.
.
때문에 틀니에 불편함을 느끼시고,
전체 임플란트에 비용적인 부담을
느끼는 분들께서 많이
찾아주시는 방법이에요.
.

.
모든 치아를 발치한 후
임플란트를 진행하였으며
상악 6개, 하악 6개를 식립하였어요.
.
하악의 경우 픽스쳐를 식립하기에
잇몸뼈가 부족하여 치조골이식을
추가로 진행하여 안정적으로 진행했어요.
.
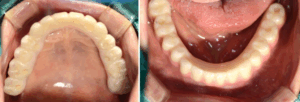
치료후 사진을 보시게 되면
구강에 적합한 모양과 형태로
완성된 모습을 보실 수 있어요.
.
상하악이 동시에 진행되는
풀아치임플란트는 보철물의 각도나 위치,
교합 관계를 정확하게 맞추는 것이 중요한데
제대로 맞지 않게 제작이 되면
저작이 불편하고 안면 비대칭을
유발할 수 있기 때문에
보철물제작은 그만큼 중요한 과정이에요.
.

.
본원에서는
.
환자분께서는 진작 임플란트를
할걸 그랬다고 좋아하셨으며
심미적, 기능적인 부분에서
모두 흡족해하셨어요.😁
.

.
.
.

.
틀니로 인한 불편감을 호소하는 경우,
다수의 치아를 상실하였을 경우에는
풀아치임플란트를 고민해보시길 바라며,
.
궁금한 사항이 있다면
부산치과 미시간에 편하게 내원해주시길 바라요. 🙂
.
부산치과 미시간치과 바로가기