연제구임플란트 구강건강의 회복을 위해서는
치아는 회귀성을 띠고 있기 때문에
한 번 손상된 경우 재생이 되지 않아
치아에 문제가 발생할 상황에 대해
주의를 기울이는 것이 필요한데요.
.
특히 치아를 상실하게 된다면 임플란트나
틀니 등을 통해 이전의 상태로 회복하곤 해요.
.
상실된 개수가 많아질수록
심적인 부담감이 커지며,
특히 치아가 거의 남아있지 않은 경우에는
삶의 질도 떨어지게 되고
건강상의 문제가 발생할 수 있어
빠른 개선이 필요해요.
.
.
.jpg?type=w1)
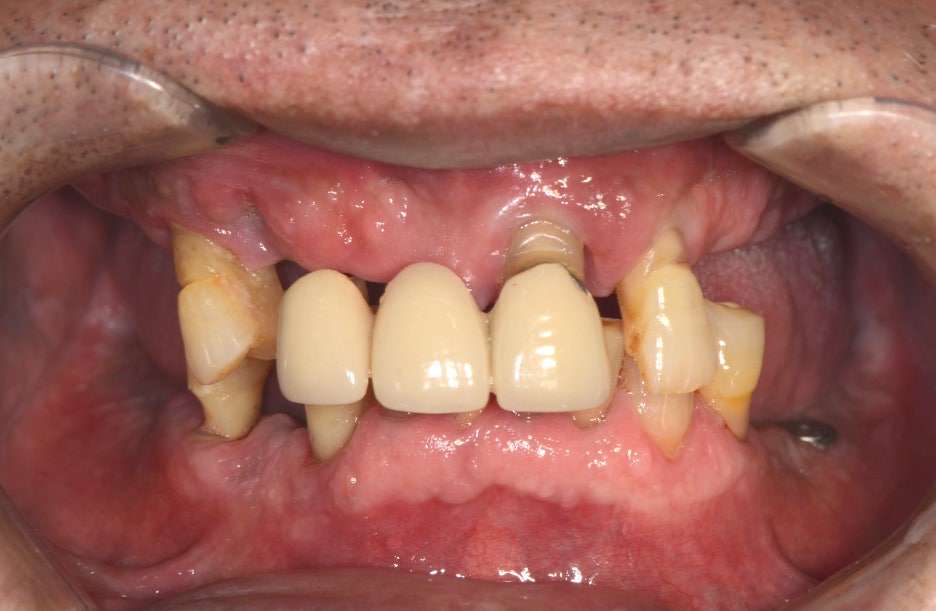
환자분은 잔존한 치아가 얼마 남지 않았지만
그 치아들마저도 치조골 소실로
흔들리는 상태였으며,
.
전치부만을 사용하여 식사하다 보니
영양소의 섭취도 제대로
이루어지지 않는다고 하셨어요.
.
.jpg?type=w1)
.
나머지 치아들은 모두 발치가 진행되어야 했으며,
하악에 식립 되어 있는 하나의 임플란트에도
염증이 발생되어 있어 함께 제거하기로 했어요.
.
시간적, 비용적인 부담으로
틀니를 생각하셨으나
연제구임플란트 설명 들으시고
풀아치임플란트로 진행하시기로 했어요.
.
.jpg?type=w1)
풀아치임플란트란 자연 치아가 모두 상실된 상태에서
전체적인 치아의 회복을 위해 상하악에
각 4~6개 정도의 임플란트를 식립하여
하나로 연결된 보철물을 구강 내
고정하여 사용하는 임플란트 방식이에요.
.
하단 장점이 있어요.
.
또한
.
한마디로 틀니와 임플란트의 장점이
더해졌다고 생각할 수 있어
전체 식립 임플란트가 부담스럽고
틀니에 불편함을 느끼신 분들께서
많이 찾아주고 계세요.
.
.jpg?type=w1)
.
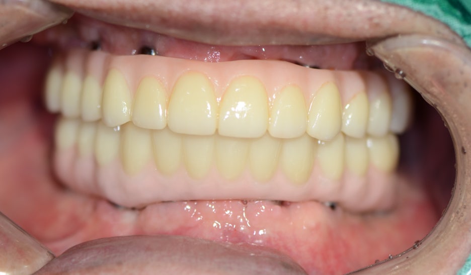
환자분께서는 뼈이식 없이
상악 6개, 하악 6개의
연제구임플란트를 식립하여 총 28개의
치아 기능을 회복하였고,
홀쭉하게 들어갔던 볼도
펴진 모습을 보실 수 있는데요.
.
진작 하실 걸 그랬다며 높은 만족감을 가지고 사용 중이세요.
.jpg?type=w1)
.jpg?type=w1)
디지털 장비를 통해 구강 내 해부학적 구조물들을
충분히 파악한 후 얻어진 자료를 토대로
계획을 수립하고 있어요.
.
또한
하고 있어요.
.
임플란트 중에서도 풀아치임플란트는 전체적인
구강 환경을 파악해야 하며, 전체적인 교합까지
맞추어야 하는 고난이도의 치료 방법이기 때문에
임상경험이 풍부하고 이해도가 높은 의료진이
직접 계획부터 식립, 사후관리까지
모두 해주는지 확인한 후
선택하는 것이 중요해요.
.

연제구임플란트에서는 한국 임상 보철 연구회 전문과정을
수료하시고 미국 오하이오 주립대, 미시간대학교
치과대학 임플란트 보철 과정을 연수하신
대표 원장님께서 직접 진료 중이세요.
.
또한
.
.

임플란트는 식립도 중요하지만
제대로 관리를 해주지 않게 되면
자연치아와 마찬가지로
탈락할 가능성이 존재해요.
.
따라서 6개월에 한번은 정기적인 검진을 받아야 하며,
일반 치아를 닦는 것처럼 하루 4번 양치질과
더불어 구강 보조용품의 사용도 함께 해주어야 해요.
.
오랜 시간과 비용을 들여 완성된
임플란트에 문제가 생겨 발치하는 일이
없도록 올바른 관리를 해주시길 바라요. 🙂
.